A 4-year-old dachshund named Trevor underwent surgery after his poor face swelled like a balloon nearly three times the normal size.
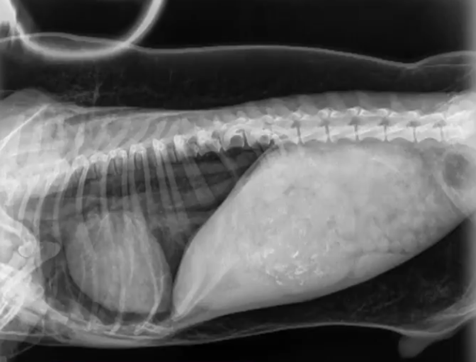
An injury left a hole in his windpipe, causing his face to inflate when the leaked air remained trapped underneath his skin and forced his heart to lift off the sternum.

"He'd blown up like a balloon," said the frantic owner, Fran Jennings. Her daughter Jessica described Trevor looking like a "big, fat seal."
It was horrible seeing him like that. We had to deflate the air out of him, it was weird.
Trevor's face started to swell a few months ago but it wasn't until he started experiencing breathing difficulties that prompted Jennings to bring him to the vet.
She told BBC:
We put him straight in the car and took him to the emergency vets and they had never seen anything quite like it. Whatever it was, it affected his breathing so we had to leave him there while they tried to find out what was wrong.

Lab tests revealed that Trevor suffered from an abnormal condition called sub-cutaneous emphysema, in which air is trapped under a layer of skin.
While the cause in Trevor's case is unknown, the condition is a result of a puncture in respiratory or gastrointestinal systems usually caused by penetrating trauma such as gunshot or stab wounds, according to Wikipedia.
Vet Michelle Coward of Beech House Surgery in Warrington restored Trevor's face back to recognizable proportions by relieving pressure and stitching up the damaged wind pipe.
But according to the skilled surgeon, the entire process was an unfamiliar one.

Coward admitted the procedure was new to her since she's never before witnessed the bizarre condition Trevor suffered.
There were no external injuries that would explain how air had got under the skin, so we suspected that an internal injury to the airway could have been allowing the air in.
Every time he took a breath, some of the inhaled air escaped through a hole in his windpipe.
Jessica is happy to report that Trevor is back to his normal, happy self and is "chasing the chickens and we wouldn't have him any other way."




























replying to @elonmusk/X
replying to @elonmusk/X
replying to @elonmusk/X
replying to @elonmusk/X
Barry Manilow/Facebook
Barry Manilow/Facebook
Barry Manilow/Facebook
Barry Manilow/Facebook
Barry Manilow/Facebook
Barry Manilow/Facebook
Barry Manilow/Facebook
Barry Manilow/Facebook
Barry Manilow/Facebook
Barry Manilow/Facebook
Barry Manilow/Facebook