A terrifying condition so rare that only three specialists in the world can help her means a successful working mom is living on a tightrope – where one false move could mean she is “internally decapitated," causing instant death.
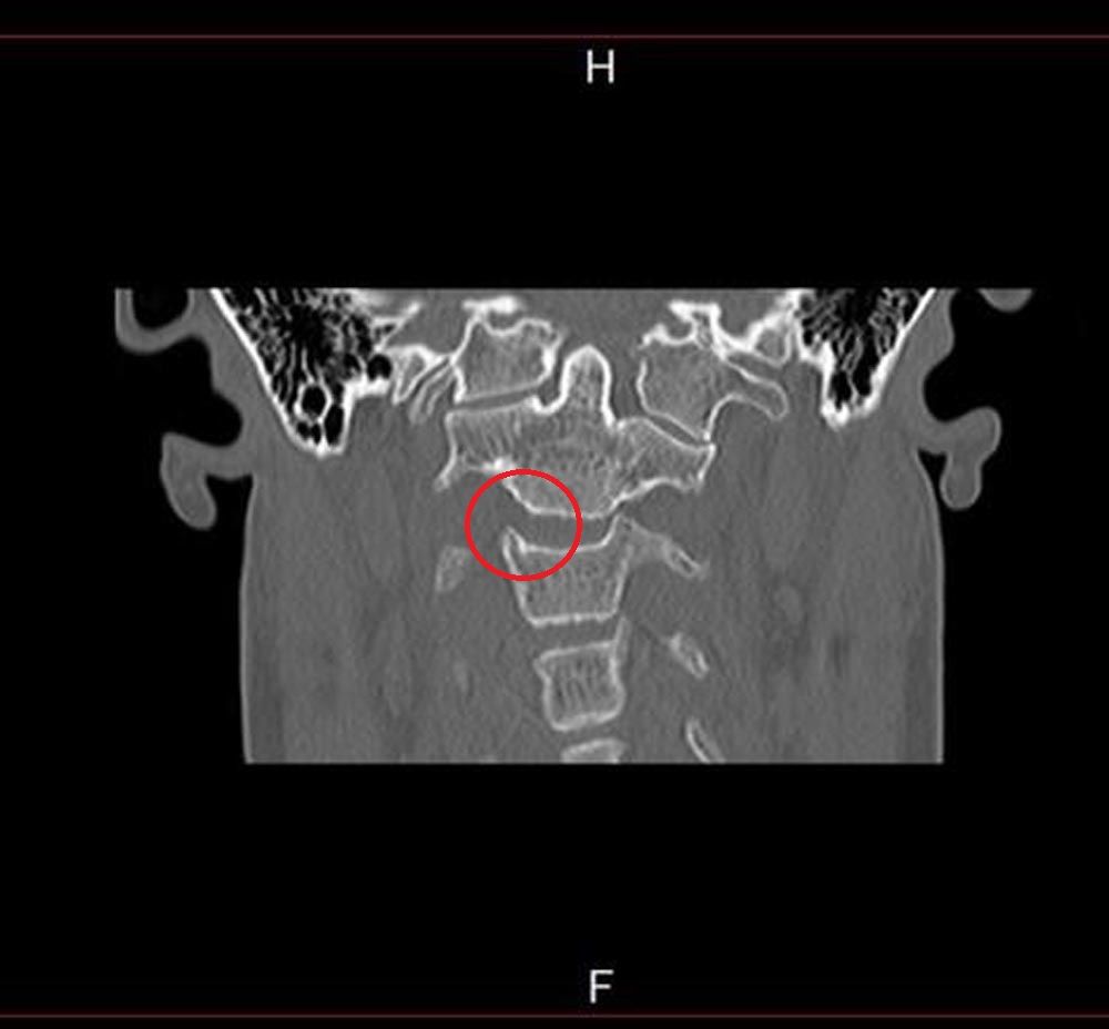
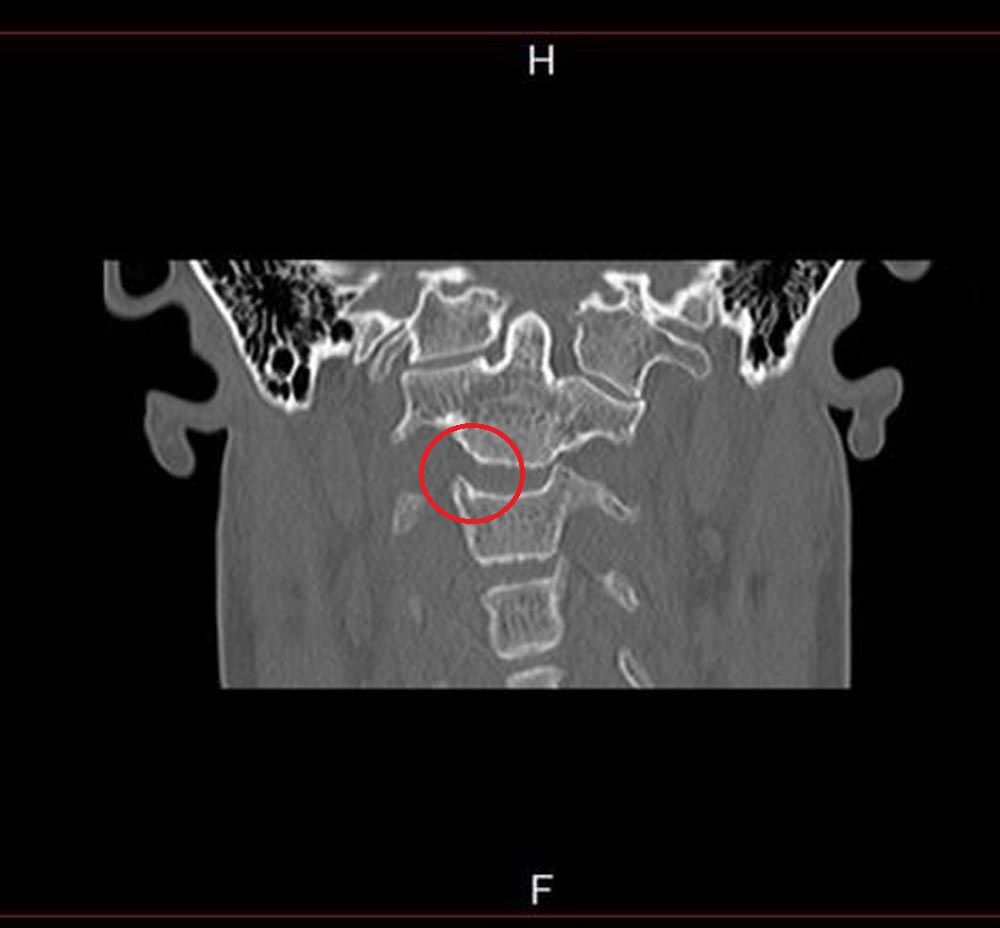
Diagnosed with atlantoaxial instability, resulting in excessive movement between the first and second vertebrae of the neck, which holds the skull in place, Rachel Pighills' spine partially dislocates each time she turns her head to the left, increasing her risk of paralysis.
The 33-year-old of Worcester, Worcestershire, who has a 12-year-old daughter, is forced to wear a neck brace to guard against the deadly threat of a total dislocation, which would decapitate her internally and kill her.

Now she and her quality inspector husband of a year and a half, Guy, 38, are trying to raise £135,000 (~$163,000) via GoFundMe to engage the services of a surgeon in Barcelona, Spain – one of only three in the world able to operate to fuse her neck and skull.
Also diagnosed with cervical medullary syndrome, caused by brain stem compression and leading to excruciating headaches, dizziness and fatigue, Rachel, said: “I live in constant fear of paralysis and death. It's hard to describe that feeling.
“I feel like I can't do anything. I go to work for a few hours a day, come home and lie horizontally on the couch. I do not do anything else."

She continued: “I'm a determined person and I have to try and do what I can. I know I can't give up.
“In May 2019 I spoke to a specialist based in Barcelona who said my case is severe and I'm at risk of internal decapitation. Turning to the left causes my cervical spine junction to partially dislocate and I could die instantly if it fully dislocates."
Told in May she has atlantoaxial instability, doctors believe it is caused by a connective tissue disorder, as her collagen quota – the body's most abundant protein and major component of connective tissues – is not as high as it should be.

“My neck has become too unstable to support the weight of my head, meaning I have to take extreme care," Rachel explained. “I can only wear my neck brace for four hours a day, because of the risk of muscles wasting away, which will be even more dangerous.
“I try and avoid turning from side-to-side. I can't move to the left side.
“But the decapitation risk will go after the surgery, even if there is still some pain. I'm desperate to get to Barcelona and have it done. It might not get rid of all my symptoms, but it will save my life."

Bizarrely, Rachel was perfectly fit and healthy – running around after her daughter and even enjoying horseback riding – until August 2017, when she started taking a new medication for an overactive immune system.
Experiencing sudden vomiting, she was hospitalized three times between September and October that year, after losing 28 lbs in just six weeks.
She recalled: “I couldn't move off the couch."
“Even though I had stopped taking the medication pretty much straight away, the symptoms continued," she explained.
“I was back and forth to the hospital and I thought I could have an eating disorder, because I couldn't get to the bottom of it.
“My wedding to Guy was coming up in February 2018 and I was thinking maybe I was subconsciously trying to lose weight for that."

In October 2017, after an MRI scan ruled out a pituitary tumor, Rachel was diagnosed with Addison's disease, a rare disorder of the adrenal glands where they stop producing enough of the hormones cortisol and aldosterone.
Treated with steroids, if cortisol levels fall significantly, it can cause a fatal adrenal crisis.
Rachel said: “I was taking a lot of steroids, but still losing weight. My wedding dress had to be taken in from a size 12 to a size six."

Rachel continued: “I was having tremors in my hands, caused by adrenalin, I was exhausted all the time and would just fall asleep at any moment. It got to the point where I could not drive my daughter to school in case I fell asleep at the wheel.
“In August 2018 we moved closer to my work and my daughter's school, so I did not have to drive as far."
As she was not offered an alternative diagnosis, despite the severity of her symptoms even with medication, Rachel accepted she must have Addison's disease.

But, after she struck her head on the back of a ceiling fan while moving into her new home in August 2018, the symptoms started to get worse.
She recalled: “A week after that I went into adrenal crisis due to water retention and was admitted to hospital. It happened again a week later and I was back to hospital.
“After I returned home I was in constant pain. My head felt really heavy on my shoulders and I would get dizzy and lightheaded."

“I started researching myself and came up with postural tachycardia syndrome (PoTS) which is an abnormal increase in heart rate that occurs after sitting up or standing, causing dizziness amongst other things," she explained.
Seeing a private endocrinologist – a specialist treating problems with hormones – in the autumn of 2018, she had an MRI scan, which came back clear.
Further visits to the GP followed and in March 2019, she was referred to a cardiologist, where an electrocardiogram test to check the heart's rhythm showed she was tachycardic – meaning her heart was beating faster than normal while at rest – and then a tilt table test led to an official diagnosis of PoTS.
Rachel said: “PoTs is a secondary condition and is not caused by Addison's, so I knew it must have been caused by something else."
And in May 2019, a neurologist also diagnosed her with Chiari malformation, a non-life threatening condition, where the lower part of the brain pushes down into the spinal canal, according to the NHS.
“I posted my MRI scan in a Chiari malformation Facebook group and people were commenting, saying Chiari was the least of my problems," Rachel recalled."

She said: “The dizziness was getting worse. It felt my head was too heavy for my neck. At work I would have to prop up my head with my hands. It felt like an enormous weight. I couldn't hold it myself.
“I was getting really bad headaches. The worst was at the bottom of my head. It felt like something was pushing and going to pierce through my head. Sitting up would be agony.
“It would last for hours. It was totally debilitating. I could not physically stand up. My legs would just give way and in the end we had to hire a mobility scooter for me."

In June 2019 Rachel saw another neurologist, who diagnosed her with platybasia, a flattening of the skull base, and basilar invagination, an infolding of the base of the skull, which occurs when one of the vertebra migrates upwards.
Then paying £1,300 ($1,570) for a private upright MRI scan, Rachel asked for the images be sent to Dr. Gilete, a top neurosurgeon she had found via a Facebook group in Barcelona, Spain – one of only three experts worldwide dealing with minimal invasive spinal surgery techniques.
Having assessed the MRI and carried out a detailed questionnaire, he added to her diagnosis atlantoaxial instability – where the vertebrae holding her skull in place become unstable and dislocated, hydrocephalus, which is an accumulation of cerebrospinal fluid within the brain, scoliosis, a curvature of the spine, and cervical medullary syndrome, which is caused by brain stem compression.

Luckily, a private health policy she has through work has covered a lot of her costs, but Rachel has still spent almost £2,000 ($2,415) of her own money on consultations.
She is now looking to raise £135,000 via GoFundMe to cover an operation in Barcelona, her accommodation for an estimated six week stay while she recovers and transport.
“I will have to have two operations. The first will remove the odontoid bone which is compressing my brain stem and the second a week later will fuse my skull and neck together," Rachel explained.
“I will have a three week stay in hospital and then three weeks in an apartment with nurses," she added.
“I just want to have it done as soon as possible.
“No one really knows what's caused it. I still wonder if it's connected to my reaction to the new medication I took for an overactive immune system."

She added: “I feel I have missed out on so much. I can't go to my daughter's assemblies and parents' evenings. I tried to go and was walking to a classroom when my legs gave way and I fell into the printer. If I'd banged my head it does not bear thinking about what might have happened.
“I hardly sleep. I can't go out really. A trip to the supermarket is a day out for us."
Rachel has praised her husband for his unerring support during her health crisis.

“I do not know what I would do without Guy. I have had a lot of time off and it's been a struggle, but he has been fantastic and tried to keep a bit of normality," she said.
Meanwhile, Guy lives in constant fear that the wife he adores could be taken from him.
He said: “It's been very difficult. I'm obviously terrified that I might come home one day and Rachel will be lying on the floor. There's a risk my wife might die."

Guy added: “I'm very protective as I'm so scared of what might happen. I'm scared of her lifting things or trying to push a vacuum around.
“I feel like I'm doing the best I can do in the situation. It's emotionally draining but you do what you have got to do."
To donate to Rachel's GoFundMe, click here.














@withethanlap/TikTok
@withethanlap/TikTok
@withethanlap/TikTok
@withethanlap/TikTok
@withethanlap/TikTok
@withethanlap/TikTok
@withethanlap/TikTok
@withethanlap/TikTok
@withethanlap/TikTok
@withethanlap/TikTok
@withethanlap/TikTok
@withethanlap/TikTok
@withethanlap/TikTok
@withethanlap/TikTok
@withethanlap/TikTok
@withethanlap/TikTok
@withethanlap/TikTok
@withethanlap/TikTok
@withethanlap/TikTok
@withethanlap/TikTok
@withethanlap/TikTok
@withethanlap/TikTok
@ngo.quang.thao/TikTok
@ngo.quang.thao/TikTok
@ngo.quang.thao/TikTok
@ngo.quang.thao/TikTok
@ngo.quang.thao/TikTok
@ngo.quang.thao/TikTok
@ngo.quang.thao/TikTok
@ngo.quang.thao/TikTok
@ngo.quang.thao/TikTok
@ngo.quang.thao/TikTok
@ngo.quang.thao/TikTok
@ngo.quang.thao/TikTok
@legallyswifite13/TikTok
@legallyswifite13/TikTok
@legallyswifite13/TikTok
@legallyswifite13/TikTok
@legallyswifite13/TikTok
@legallyswifite13/TikTok
@legallyswifite13/TikTok
@legallyswifite13/TikTok
@legallyswifite13/TikTok
@legallyswifite13/TikTok
@legallyswifite13/TikTok
@legallyswifite13/TikTok
@legallyswifite13/TikTok
@MarinStrade/X
@tickleslarue/Bluesky
@jbbredin/Threads
@TheDavidHasbun/X
@aminhnow/Bluesky
@S1apSh0es/X
@loather/Bluesky
@TTV_WAR_MACHINE/X
@eddiepearson/X
@alex-awoos/Bluesky